要確認!その銀歯!アマルガムではないですか?
アマルガムってご存じですか?
虫歯の治療に用いられる、充填材料です。
今では、ほとんど使用されていませんが、昔ながらの医院ではいまだに使用されているところも多いです。
実は水銀が含まれており、現在は使用されている医院も少ないです。
アマルガム治療に対しては、以前から有害ではないかと問題視されていました。
しかし、なぜか現在も保険診療として認められている治療法になります。
口の中に金属修復物がある人は特に必見です。
アマルガムについて一緒に考えていきましょう。

- アマルガムとは?
- 見分け方は?
- 実際お口の中に入ってると問題なの?
- どんな症状がおこりうる?
- アマルガムの利点はあるのか?
- 現在の歯科界としての方針は?
- 除去できるの?
- 最後に
アマルガムとは?
正式名称は、「歯科用水銀アマルガム」といいます。
主に虫歯治療に使用され、充填される歯科材料です。
50%の水銀と銀(35%)、スズ(9%)、銅(6%)、少々の亜鉛などの粉末を混ぜ合わせて作られます。
この水銀アマルガムは100年以上も世界中の歯科医院で使用されてきました。
日本でも国が認めて約70年、何の疑いも無く使われてきました。
現在、欧米の一部では使用が禁止されています。
しかし日本では、いまだ使用している歯科医院も時々見られます。
そして、この危険性については歯科医師や医師も特に周知しておらず、もちろん一般の人々も知らず、厚生労働省も大きな対策もしていないのが現状です。
見分け方は?
一般の患者さんが、アマルガムとそうでない金属を見分けるのは至難の業です。
歯科大学でもまともに教えられてないので、若手歯科医師もあまり気にしていないことが多かったりします。
簡単に見分け方を書いておきます。
色 ・・・ 黒っぽく光沢がない、さびていることが多い
部位 ・・・ 奥歯の側面や咬み合わせ面、前歯の裏側(←こんなの見えるわけがない!)
範囲 ・・・ 小さいなかたまり状、他の金属修復物と比べて直線的ではない。
こんな感じです。
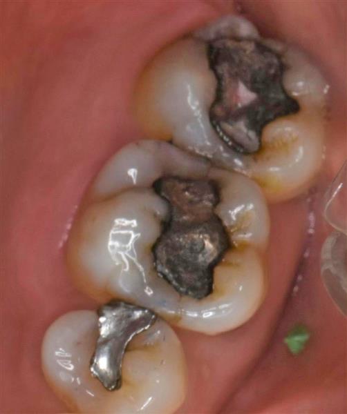
実際の写真で見てみましょう。

⇧ これは、どちらもアマルガムです。丸っこくちょこんと詰められています。

左は、アマルガム修復です。
右はインレー修復(金銀パラジウム合金)と呼ばれる一般的な詰め物です。

上2つはアマルガム修復です。
一番下の小臼歯は、インレー(金銀パラジウム合金)です。
アマルガムだけ、少し黒っぽいのが分かります。
実際お口の中に入ってると問題なの?
現在でこそ、白い充填材料(コンポジットレジン)が普及していますが、
1990年まで、日本の歯科治療の主流はアマルガム充填でした。
やがて、水銀アマルガムの危険性が歯科医師たちに知られるようになりました。
口の中で劣化し、腐食しやすい傾向があるため、人体に悪影響を及ぼすおそれがあることがわかったのです。
唾液にとけて、少しずつ体内に取り込まれているという報告もあります。
また、「アマルガム修復されている患者の毛髪には、水銀が多めに検出される」といった研究データもあります。
どんな症状がおこりうる?
金属アレルギー様の症状、妊婦・胎児への影響、
水銀による症状だけでも、頭痛、強い疲労感、腹痛、胃腸障害、しびれ、麻痺、筋力低下、痙攣発作、視力・聴力・味覚低下、皮膚症状、原因不明の関節・筋肉の痛みなど多岐にわたります。
大部分の患者さんが、問題なく過ごしていますが、重金属の影響は、個人差も大きく知らない間に体内に取り込まれていると考えられます。
アマルガムの利点はあるのか?
これが意外と便利な材料なんです。
虫歯を削った後の穴に埋めて固まるのを待つ。ただそれだけなのですが、
金属ということもあって、割れにくい。外れにくい。封鎖性もよく、二次的な虫歯になりにくかったりもします。
治療後も、数週間かけて噛む力によって少しずつ加圧変形され、ちょうどいい形に賦形されるのも歯科医師としてありがたい特徴だったりします。
アマルガム操作の簡便性や、物性の良さはいまだに他の材料では、再現できないという先生も多いです。
したがって、アマルガム充填に慣れてしまった昔の先生は、現在も使用し続けている医院が多いです。
もちろん、保険治療として認められているため、違法ではありませんよ!
現在の歯科界としての方針は?
「見つけたら積極的に除去しなさい」という指針などはありません。
歯科医師によっては、患者に危険性を説明して、あえて除去される先生もいます。
大部分の患者さんには目に見えた問題がないといいうのもあります。
「中高年以上の虫歯治療をよくしてきた患者さん」「年配の歯科医師に治療してもらった経歴のある患者さん」に多く認められます。
除去できるの?
できます!削り取るだけなら簡単です。
ただし、削る際に、また水銀交じりの切削片が口の中にバラまかれてしまうという問題があります。そんまま喉の奥に流れたりしたらもっと怖いです。
なので、あえて除去しない先生もいます。
除去する際は、ラバーダムというゴム膜で歯の周りを覆ったり、徹底したバキューム操作で流れ出ないよう細心の注意が必要です。
除去した後は、他の材料で詰めてもらいます。
最後に
いかにも、「アマルガム修復は危険」といった内容になってしまいました。
しかし何度も言いますが、ほとんどのアマルガム修復済みの患者さんでも問題なく過ごせます。
気づかないうちに微量ながら水銀が溶け出している可能性があるという話です。
日本人は特に水俣病を必ず習っていますので、世界的にみても水銀恐怖症の国民です。
その割には、アマルガムを積極的に規制しないのには、大人の事情があるんでしょうね。
心配な方は、近くの歯医者さんに診てもらってください。
ちなみに....
僕もアマルガムは、触ったことがありません。
実は現在、もう歯科大学の教育現場では、アマルガム修復を実習では教えません。
教科書と試験勉強だけの存在です。
新たにアマルガムを購入するのも難しいくらいです。
経験上、一度体験してみたいなとは思っているのですが、今では難しい出しょうね。